Алматы көпсалалы клиникалық ауруханасының дәрігері Конаев қаласында науқастың бронхынан бөгде затты алып, өмірін құтқарды
Санитарлық авиация желісі бойынша Алматы көпсалалы клиникалық ауруханасының дәрігер-эндоскописі Данияр Алмагамбетов 1958 жылы туған науқасқа шұғыл медициналық көмек көрсету үшін Конаев қалалық орталық ауруханасына шықты.
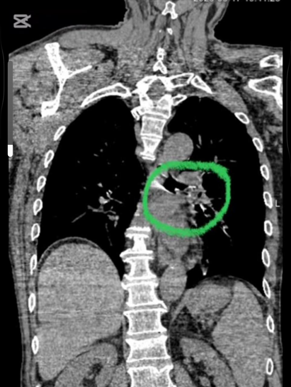
Науқастың сол жақ бас бронхында көлемі 2,0х1,5 см болатын алма бөлігі табылып, ол толықтай тыныс жолын бітеп қалған. Жағдайды едәуір күрделендірген қосымша аурулары да болды: 1995 жылы өткерген жедел ми қанайналым бұзылысының салдары, дизартрия, сол жақты гемипарез, сондай-ақ III дәрежелі артериялық гипертензия (ФК 4).
Конаев қалалық орталық ауруханасының ота бөлмесінде маман бейнебронхоскоп аппаратының көмегімен, интубациялық наркозбен бөгде затты сәтті алып тастады. Дәрігердің жедел әрі кәсіби іс-әрекетінің арқасында науқастың тыныс жолдары толық қалпына келтіріліп, өміріне төнген қатер мен ауыр асқынулардың алдын алынды.
«Мұндай жағдайлар жедел араласуды және мамандардың жоғары деңгейдегі дайындығын талап етеді. Санитарлық авиация жүйесінің үйлесімді жұмысы мен дәрігерлердің тәжірибесі ең күрделі сәттердің өзінде пациенттерге дер кезінде шұғыл көмек көрсетуге мүмкіндік береді», – дейді дәрігер Данияр Алмагамбетов.




